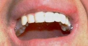
Elongated canine as a mean
to preserve esthetics and symmetry
     
 

Izrabotka na elongiran kanin so cel da se sochuva estetikata i simetrijata na nasmevkata

Gornata Incizalnata linija e zbirot na site incizalni povrshini na gornite zabi. Taa e odlucuvachkiot I megu glavnite faktori za estetikata na zabite. Gledano od predna strana ednodimenzionalno, taa e recisi prava linija, dodeka dvodimenzionalno taa e polukriva koja svojot vrv go dostignuva na sredina pomegu centralnite incizivi. Klasichnata estetika pobaruva centralnite incizivi so svoite incizalni povrshini I kaninite so svoite vrvovi obavezno da ja dopiraat incizalnata linija, kako bi dostignale vrvna estetika, dodeka taa dolznost za vtorite incizivi e opcionalna, poradi moznosta od estetski prichini tie da bidat malku povlecheni kon cervikalno. Estetikata mora da bide vo soodnos so simetrijata. Simetrijata e taa koja go diktira tempoto kon postignuvanjeto na ubava nasmevka. No, simetrijata ne e sekogash klasichna, bash kako shto ja imame vo ovoj sluchaj. Dvata gorni kanina se prirodno elongirani taka da formiraat nevoobichaena simetrija koja kaj pacientot si sozdava svoja habituelna estetika.

 

Elongated canine as a mean
to preserve esthetics and symmetry

Main upper incisal line is the sum of incisal lines of all upper teeth. It is the deciding factor and among main causes for great dental esthetics. Looking onedimensionaly, just from front side, this main incisal line is almost straight, but in two-dimensional world, it`s half-curved line with the highest point in the middle of central incisives. In order to achieve highest standards, classical esthetics sets rule all two central incisives with their incisal lines and all two canines with their highest points to touch ( be in the same line with) main incisal line, while this rule for lateral incisives is optional (they have chance to be retreated towards cervical line). Esthetics must be in correlation with symmetry. Symmetry is the one who dictates rules towards achieving great smile. But, symmetry isn`t always classical, just like we are showing in this case. Two upper canines are naturally elongated, and they are forming unusual symmetry, patients own symmetry, called habitual symmetry.

 

 
     

 

 

         
   

 

Habituelna estetika e estetika na sekoj covek poedino izrazena preku postavenosta na negovite predni zabi vo dadeniot moment. Cesto habituelnata estetika ne soodvestvuva so klasichnata literaturna estetika vo stomatologija. Ili narodski recheno- sekoj si e ubav na svoj nacin.

Vo ovoj slucaj gorniot lev vtor inciziv bil ekstrahiran I za negova nadopolna gi prepariravme prviot inciziv I kaninot koj slichno kako I negoviot bliznak od sprotivnata strana e elongiran. Na rentgen snimka uvidovme deka pulpata e dosta povlechena od desniot kanin, no nema nikakvi patoloshki procesi, shto znaci deka toa e fizioloshko povlekuvanje koe ni ovozmozi podlaboka preparacija na zabnata supstanca kon gingivalno I sozdavanje na takvo zabno truphe na koe bi mozelo da se napravi koronka koja ke bide vo ista incizalna linija so predniot inciziv. No vo takov slucaj bi doshlo do asimetrija pomegu dvata kanina I estetikata bi se narushila. Kako opcija na pacientot mu beshe predocheno deka ako I kaninot od sprotivnata stran bide sostrugan I staven pod koronka kako I ovoj koj ke bide del od mostovata konstrukcija togash pacientot ke dobie klasichna estetska nasmevka so kaninite povlecheni do granicite na regularnata incizalna linija.
Na insistiranje na pacientot caninite da mu bidat izdoleni kako shto mu bile celiot zivot, preminavme na izrabotka samo na porcelanskata mostova kontrukcija sostavena od dve koronki I eden clen. Simetrijata beshe zapazena a so toa i estetikata na nasmevkata.

 

 

Habitual symmetry is esthetics of each person individually expressed through patients natural position of upper teeth in certain moment of his/her life. Usually habitual symmetry doesn`t comply with classical literatural esthetics in dentistry. But, simply said, everyone`s beautiful on its own way.

In this case, upper left lateral incisive was extracted and in order to be artificially added, we have constructed bridge- first left incisive and left canine were prepared for bridge construction, and made left canine to be elongated in order to be just same like his "twin brother" upper right canine. On X-ray image of this area we found out that there aren`t any pathological processes, and that physiological retreat of pulp can allow us to perform deeper preparation of upper right canine also , and to create smaller canine from that side also. With this situation we could create "smaller" artificial canines than the old real ones, but we must create artificial crowns for both canines in to escape asymmetry and bad esthetics. These options were explained to the patient, and he insisted his canines to be elongated like always, because he was used to the like it. So we did ceramic bridge construction made of one pontic ( second incisive), and two retainers ( central incisive and left elongated canine). Symmetry was great and esthetics also.

   
     
     
   

 


   

 

 

author: Dr. Boban Fidanoski, DMD
             Dental Office "Duki-Lek"
             Titovouzicka Str. No.10
              Skopje, Macedonia

          e-mail :   bobanfidanoski@yahoo.com

Date of on-line publishing: September 30-th , 2002

© September, 2002 Copyright - Text and photographs by Boban Fidanoski- Skopje, Macedonia


 
 
www.dental-prosthetics.com