Case Study
November 15-th 2002
Just another day in dental paradise
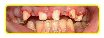
Oral status after preparation
Prepared upper teeth in occlusion with lower jaw
Oral status on casting models - Maxilla
Mandible

Therapy

Two semicircular bridges

Total : six pontic elements and six retainers.

Point of separation between bridges: medial incisors.

Special : terminal pontic elements

 

Anterior view
Anterior view-occlusion with lower jaw
Right profile
Left profile
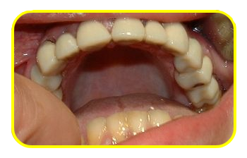
Oral status after bridge installation
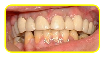
Open bite situation
Bridges in occlusion with lower jaw
View on occlusal sides of two bridges
The End. Final Smile.
   
   

author: Boban Fidanoski
             Dental Office "Duki-Lek"
             Titovouzicka Str. No.10
              Skopje, Macedonia

          e-mail :   bobanfidanoski@yahoo.com

Date of on-line publishing: November 15-th , 2002

© November,2002 Copyright - Text and photographs by Boban Fidanoski- Skopje,Macedonia